アクアフィリングのトラブルで、溶解依頼が急増しています。
当院では、エコーでしっかり確認しながら、溶解します。

このエコーを解説しますと、

です。
感染やアクアフィリングが広がらないように、きちんと溶解しています。
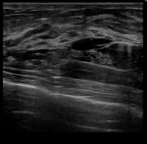
アクアフィリングのトラブルで、溶解依頼が急増しています。
当院では、エコーでしっかり確認しながら、溶解します。

このエコーを解説しますと、

です。
感染やアクアフィリングが広がらないように、きちんと溶解しています。
お気軽にご相談ください
THE CLINICでは他院の施術による失敗治療も数多く行っております。
すでに失敗でお悩みの方も、症状が悪化する前にまずはご相談ください。