ここ最近、福岡でも
『脂肪豊胸後のしこり』 の 御相談が急増しております。
「つぶしたら治る。」
「癌ではないので、ほっといたらよい。」
「治せませんね。」
と言われたり、インターネットに書いてあるんだけど・・・・・・・
などなど
私たち、THE CLINICでは、安全な形で、可能な限り治療させていただきます。
超音波による正確な診断と、それに基づく、正確な治療をさせて頂きます。

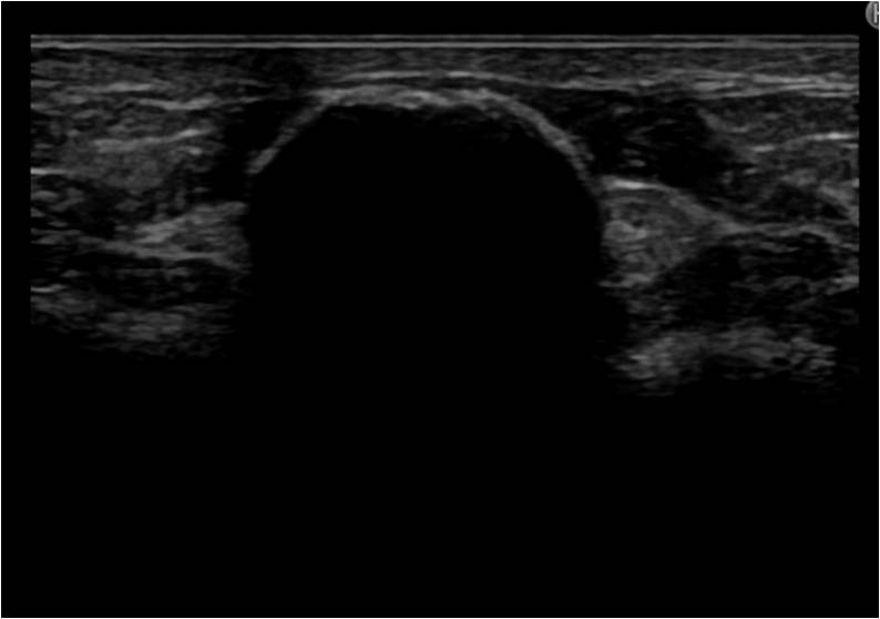
上のしこりは、石灰化パターンのしこりです。しこりはパターンによって治療方針が異なります。
この状態ですと、乳がん検診なども受けることもできません。
最悪、つぶれてしまうと、大手術になってしまいます。
この方は、乳輪切開し、摘出となりました。
不安なゲストが、たくさん来院されます。
まず、一度、御相談を。