すこし、方向を変えて、他院で脂肪豊胸されたのちのしこりに関して、数回更新したいと思います。
おそらく、日本で、脂肪豊胸後のしこりに対して、しっかりと診断・治療を行うことができる美容クリニックは、THE CLNICのみです。
しこりには、いくつかのパターンがあります。大きく分けると4種類ありますので、順番に紹介いたします。
我々のクリニックは、医師全員がしっかりと超音波検査を行うことができます。
乳がん専門医の医師もいます。
私のように、乳がん治療や乳がん検診を行ってきた医師もいます。
前置きが、長くなりました。
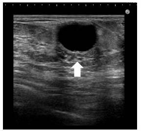
本日は、のう胞型(壊死した脂肪からでる液のたまった風船の様な) のしこりです。
上の図が、超音波で評価した、のう胞状のしこり です。
短時間で超音波下の施術で治療できます。
脂肪豊胸後心配な方は、超音波検査だけでも受けに来てください。
