あっという間に、9月になりました。
まだまだ夏です。
しこりの最後のブログとなります。
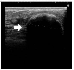
最後のパターンは、一番 硬くなった 石灰化型 のしこりについて説明します。
この型は、しこりを長い期間放置し、壊死した脂肪を包んだ膜が、卵の殻のように、カチカチになった型です。
こうなってしまうと、摘出手術を行います。
もちろん、このしこりも、放置し、つぶれてしまうと 大変な状態になってしまいます。
乳がんになることはありませんが、治療しなくてはいけません。
摘出したしこりです。
THE CLINICは、超音波を使って、診断~治療まで、正確にできる日本唯一の美容クリニックであると言っても過言ではありません。
当院は、3000例以上脂肪豊胸していますが、しこりを主訴に再診されたゲストははゼロです。
しこりは作らないことが、一番大切ですが、できてしまった後の治療も大切です。
本日で、しこりのブログはおしまいです。
悩まれているゲストは、多数、来院されます。一人で悩まず、御相談ください。

